L'arterite di Takayasu (detta anche malattia senza polso) è una vasculite granulomatosa dei grandi vasi arteriosi. L'infiammazione interessa l'aorta, le sue maggiori diramazioni e l'arteria polmonare. Ne esistono cinque tipi diversi a seconda del tratto aortico interessato.
Epidemiologia
L'incidenza è di 3/milione (in India 200-300/milione). Colpisce prevalentemente le giovani donne asiatiche di età inferiore ai 40 anni, con rapporto maschi femmine di 1:8. Spesso si riconosce la presenza della malattia soltanto durante l'autopsia (in Giappone durante l'esame si riscontra un caso di arterite ogni 3 000).
Storia
Il primo caso di tale arterite è stato descritto nel 1908 dal medico Mikito Takayasu.
Sintomatologia
I sintomi che si manifestano sono di origine infiammatoria e ischemica. Si riscontrano febbre, artrite, artralgie, linfoadenopatia, dolore toracico e addominale. Il nome di "malattia senza polso" si deve al fatto che all'esame obiettivo i polsi arteriosi delle estremità superiori possono anche risultare assenti a causa dell'obliterazione dei vasi dell'arco aortico, uno dei quali si dirama dando l'arteria radiale. Inoltre si può assistere a un interessamento cardiaco con manifesta insufficienza aortica. Frequenti i soffi arteriosi (carotidi, succlavie). Dopo i sintomi iniziali sistemici si presentano più tardivamente i sintomi vascolari:
- ipertensione arteriosa sistemica
- claudicatio intermittens
- disturbi visivi
- infarto, angina
- ipertensione polmonare
- dolori addominali
Anatomia patologica
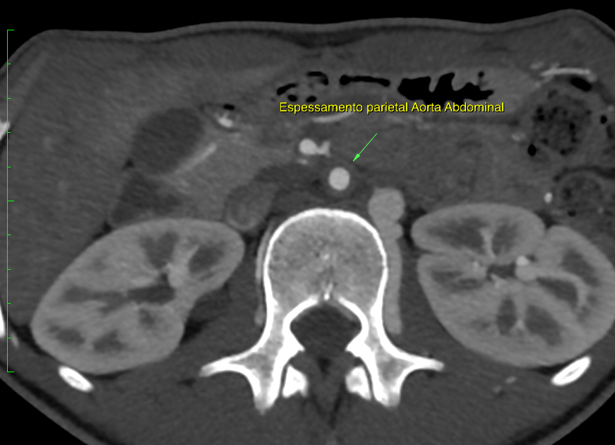
A livello microscopico si possono distinguere due fasi di malattia: una fase acuta ove si evidenzia un infiltrato di macrofagi, linfociti e plasmacellule organizzato come una semplice invasione perivascolare, rispetto ai vasa vasorum, fino a un'intensa risposta granulomatosa con cellule giganti e necrosi non caseosa centrale; nella fase in via di guarigione esita in un ispessimento irregolare della parete vascolare con iperplasia intimale e fibrosi trans-murale retraente. A livello macroscopico si notano gli esiti della patologia attraverso l'ispessimento della parete vascolare con restringimento luminare dei grossi vasi. Quest'interessamento può essere segmentale o multifocale e associato a tenaci aderenze esterne. L'ostruzione può determinare obliterazione degli osti delle arterie collaterali.
Esami
Si riscontra in laboratorio un marcato aumento degli indici aspecifici di flogosi come la VES. L'esame diagnostico maggiormente utile risulta essere l'angiografia.
Patologie correlate
In letteratura si è osservata una coesistenza della malattia di Crohn, che fa sospettare di avere in comune la stessa patogenesi ancora sconosciuta nel caso dell'arterite.
Terapie
L'obiettivo del trattamento è quello di fermare l'infiammazione delle arterie e ciò è generalmente possibile utilizzando alte dosi di farmaci immunosoppressori. Quasi la metà delle persone con tale arterite trae benefici con i corticosteroidi (esempio il prednisone). Dopo una buona risposta iniziale, la malattia può tuttavia riaccendersi e molti pazienti devono assumere cortisone a lungo per evitare la progressione del danno e controllare i sintomi più disturbanti come la febbre, la stanchezza, i dolori. Quando il cortisone da solo non basta, si aggiungono farmaci detti citotossici/immunosoppressori. Nei periodi di quiescenza possono essere eseguiti interventi per la correzione delle anomalie vascolari permanenti nei pazienti a rischio per lesioni d'organo. La rivascolarizzazione può essere chirurgica o condotta con tecniche di angioplastica intraluminale percutanea. Una particolare indicazione al trattamento è rappresentata dalla presenza di ipertensione nefrovascolare. Un'adeguata terapia immunosoppressiva e la correzione selettiva dei danni vascolari hanno molto migliorato negli ultimi anni la prognosi della malattia di Takayasu. Attualmente si stanno ottenendo ottimi risultati con l'assunzione di micofenolato mofetile, farmaco già utilizzato per la prevenzione del rigetto nei trapianti d'organo.
Prognosi
Generalmente la prognosi è buona con bassa mortalità. La sopravvivenza a 15 anni è di circa 85%; le cause di morte sono ictus, infarto miocardico e insufficienza cardiaca.
Note
Bibliografia
- Joseph C. Sengen, Concise Dictionary of Modern Medicine, New York, McGraw-Hill, ISBN 978-88-386-3917-3.
- Harrison, Principi di Medicina Interna (il manuale - 16ª edizione), New York - Milano, McGraw-Hill, 2006, ISBN 88-386-2459-3.
- Eugene Braunwald, Malattie del cuore (7ª edizione), Milano, Elsevier Masson, 2007, ISBN 978-88-214-2987-3.
Voci correlate
- Arterite
- Stenosi aortica
Altri progetti
- Wikimedia Commons contiene immagini o altri file su arterite di Takayasu
Collegamenti esterni
- Scheda Informativa sulla Malattia di Takayasu (archiviato dall'url originale il 26 marzo 2009). - Centro di Coordinamento per le Malattie Rare - Regione Lombardia

![06.06 [06.03 Altre patologie arteriose] Arterite di Takayasu Test](https://app.testammissione.com/wp-content/uploads/2021/01/image-37.jpg)


